全崴生技股份有限公司

細胞培養產品 – Human Fetal Feeder (“HFF”) cells

全崴生技股份有限公司
全崴生技股份有限公司

產品敘述

TWB-103 在病患身上可促進傷口癒合的成分及機轉,也可用在實驗室或是細胞工廠內,促進多種細胞的增殖及生長!HFF 與TWB-103有共同的細胞來源,在實驗室裡,HFF已顯現出能促進角質細胞增生的強大能力。在學術研究之外,未來HFF也可用於製造符合GMP規範的細胞治療產品。全崴生技將會支援HFF使用者在製造藥品時的醫藥法規需求。
全崴生技正在積極開發HFF, “Pre-GMP” 及 “GMP” 等級之HFF將會在2018年第四季問世。
全崴生技股份有限公司

HFF 的主要規格

HFF 的主要規格
細胞來源

Human Fetal Dermal Fibroblast

細胞數目

1 x 106 cells/vial

前處理

Mitomycin C

冷凍保存液

DMSO based, containing FBS

適用培養基

Will attach and survive in most cell culture media

儲存

(long term) Vapor phase of liquid nitrogen
(short term) Freezer below -70℃

全崴生技股份有限公司

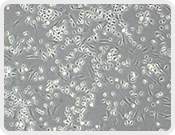
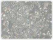
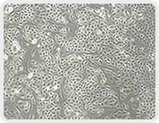
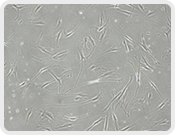
HFF keratinocytes

Figure 1: HFF can enhance replication of keratinocytes
Seeding density: HFF is 3000 cells/cm2
Keratinocyte is 2000 cells/cm2

Day 3
Day 5
Day 6
HFF
全崴生技股份有限公司

Day 3

全崴生技股份有限公司

Day 5

全崴生技股份有限公司

Day 6

Keratinocyte
全崴生技股份有限公司

Day 3

全崴生技股份有限公司

Day 5

全崴生技股份有限公司

Day 6

HFF& Keratinocyte
全崴生技股份有限公司

Day 3

全崴生技股份有限公司

Day 5

全崴生技股份有限公司

Day 6